Sostieni le nostre ricerche indipendenti:
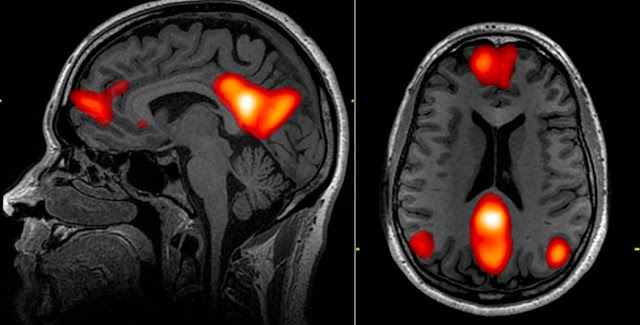
Dona OraUn nuovo controverso studio conferma che l'alluminio nei vaccini può causare il disturbo dello spettro autistico (ASD) e quei bambini che ne soffrono hanno fino a 10 volte più metallo nel cervello di quello che è considerato una quantità sicura per gli adulti. Ma qualcuno è sorpreso che i metalli causino deficit nel proprio corpo?
Traduzione a cura di Vivereinmodonaturale.com
Il mercurio e alluminio sono stati a lungo dibattuti da persone come Robert Kennedy Jr . come ingredienti nei vaccini che potrebbero causare autismo; e per una buona ragione poiché sappiamo che sia l'alluminio che il mercurio sono neurotossine che danneggiano il corpo ad alti livelli. Ma ora i ricercatori hanno scoperto che l'alluminio induce la membrana a separare il cervello dal sangue che scorre verso di essa, influenzando così la sua temperatura interna, le cellule non neuronali e le cellule infiammatorie, ha riferito Daily Mail .
"Forse ora abbiamo il legame tra vaccinazione e disturbo dello spettro autistico (ASD), il collegamento è l'inclusione di un adiuvante di alluminio nel vaccino", ha detto il professor Chris Exley della Keele University.
Gli scienziati ipotizzano che i bambini che soffrono di autismo possano soffrire di alcuni strani cambiamenti genetici che causano l'accumulo di alluminio all'interno dei loro corpi. Lo studio è stato pubblicato nel Journal of Trace Elements in Medicine and Biology .
Un altro studio condotto nel 2012 dalla rivista medica Lupus, sottoposta a revisione paritaria, di Lucija Tomljenovic, PhD e Christopher A. Shaw, PhD dell'Università della British Columbia, conferma ciò che il professor Chris Exley ha pubblicato, indicando che la tossicità dell'alluminio colpisce i mitocondri. L'esperimento ha scoperto che l'alluminio come adiuvante può portare a alterazioni permanenti del cervello e della funzione del sistema immunitario.
L'alluminio è noto per causare una "eziologia di una serie di malattie tra cui l'Alzheimer, il Parkinson, l'encefalopatia da dialisi e l'osteomalacia. Al ha dimostrato di esercitare i suoi effetti interrompendo la fluidità della membrana lipidica, perturbando l'omeostasi del ferro (Fe), del magnesio e del calcio e causando stress ossidativo ”, secondo l'abstract dello studio del 2012.
Questo è anche il punto di ciò che molte sentenze giudiziarie hanno riscontrato anche in relazione ai vaccini che causano l'autismo in bambini un tempo sani.
Un caso in un tribunale italiano del settembre 2014, "ha dichiarato che il mercurio e l'alluminio nei vaccini causano l'autismo" e ha assegnato un risarcimento familiare all'attore per il loro ragazzo che ha sviluppato l'autismo da un vaccino esavalente sei in uno prodotto da GlaxoSmithKline. GSK ammette persino che INFANRIX Hexa può causare diverse malattie mortali , ma insiste sul fatto che il suo profilo di rischio-beneficio "continua ad essere favorevole".
Nel 2013, due bambini hanno ricevuto milioni dal tribunale dei vaccini, confermando che il vaccino MMR provoca autismo .
Quindi qual è la probabilità che il vaccino MMR causi l'autismo? Esistono ricerche che suggeriscono che il vaccino potrebbe potenzialmente causare autismo nei bambini? Sì, ci sono un sacco di prove tra cui casi giudiziari , vari studi, informatori e citazioni degli stessi funzionari della comunità sanitaria.
Tutto questo è registrato se vuoi davvero scavare. Ma ho pensato che avrei scavato per te, così puoi seguire e controllare la mia ricerca e capire da dove proviene tutto questo e decidere da solo.
Un alto funzionario della CDC, il Dr. William Thompson dichiarò i collegamenti della vaccinazione con l'autismo e rilasciò 1.000 documenti a sostegno delle sue affermazioni.
Questo problema è noto dagli anni '60 che il vaccino MMR provoca autismo, ed è stato ammesso pubblicamente.
"La rosolia (sindrome da rosolia congenita) è una delle poche cause comprovate di autismo", ha dichiarato Walter A. Orenstein, MD, ex chirurgo generale e direttore del National Immunization Program, in una lettera del 2002 al Chief Medical Officer del Regno Unito.
Poi, nel 1998, uno studio del Dr. Andrew Wakefield e colleghi pubblicato sul rispettato giornale medico The Lancet avrebbe trovato un presunto legame con l'autismo e la malattia intestinale, da allora è stato ritirato, e chiamato una frode elaborata . Anche se la ricerca di Mercola ha scoperto che nuove prove confutano i risultati delle frodi nel caso del Dr. Wakefield .
Questo è lo stesso Andrew Wakefield che è stato anche il regista del film censurato VAXXED: From Cover-up to Catastrophe .
Nel 2015, il suddetto informatore del CDC, il dott. William Thompson, ha confermato le precedenti affermazioni fatte dal dott. Andrew Wakefield nel 1998. Thompson sostiene che i suoi colleghi in uno studio del 2004 del US Center for Disease Control hanno coperto e distrutto documenti di studio del 2004 che mostravano un legame significativo tra il vaccino MMR (morbillo, parotite e rosolia) e l'autismo nei ragazzi afroamericani vaccinati prima di 36 mesi.
"I dati omessi suggerivano che i maschi afroamericani che avevano ricevuto il vaccino MMR prima dei 36 mesi avevano un rischio maggiore di autismo." ~ William Thompson, scienziato senior della CDC
Se ciò non bastasse, dopo la rivelazione da parte dell'informatore del CDC, altri medici hanno messo in dubbio la sicurezza del vaccino MMR . Perfino il Dr. Peter Fletcher, ex Chief Scientific Officer presso il Dipartimento della Salute nel Regno Unito, afferma che ci sono "migliaia di documenti" che vengono ignorati che dimostrano i pericoli del vaccino MMR.
"Il rifiuto da parte dei governi di valutare correttamente i rischi renderà questo uno dei più grandi scandali nella storia della medicina", ha affermato il dott. Peter Fletcher.“È tempo di ripulire il pozzo nero del CDC, il dott. Thompson deve parlare, sotto giuramento. Dobbiamo tutti inviare un'e-mail al Congressional Oversight and Reform Office oggi e richiedere che il Dr. Thompson riceva un mandato di comparizione. Se il CDC ha nascosto intenzionalmente i dati secondo cui il vaccino MMR era associato all'autismo, allora le teste del CDC devono far rotolare questo bisogno per finire ora ”, ha affermato il dott. Brownstein, un medico di spicco.
Ulteriori prove che potrebbero portare a un collegamento che l'adiuvante di alluminio causa ADS è una sentenza del tribunale nel Regno Unito che ha scoperto che le vaccinazioni contro l'influenza suina avevano causato danni cerebrali e sindrome di Guillain-Barre (GBS) in più bambini nel 2015 che hanno preso il vaccino.
L'uso di alluminio e altri metalli nei vaccini come adiuvanti può far parte di un esperimento vecchio 90 anni in cui eravamo tutti i topi di laboratorio.
L'alluminio è una neurotossina dimostrata sperimentalmente e l'adiuvante del vaccino più comunemente usato. Nonostante quasi 90 anni di uso diffuso di adiuvanti in alluminio, la comprensione della scienza medica sui loro meccanismi di azione è ancora notevolmente scarsa. Esiste anche una scarsità di dati relativi alla tossicologia e alla farmacocinetica di questi composti. Nonostante ciò, l'idea che l'alluminio nei vaccini sia sicuro sembra essere ampiamente accettata. La ricerca sperimentale, tuttavia, mostra chiaramente che gli adiuvanti di alluminio hanno il potenziale per indurre gravi disturbi immunologici nell'uomo. In particolare, l'alluminio in forma adiuvante comporta un rischio di autoimmunità, infiammazione cerebrale a lungo termine e complicanze neurologiche associate e può quindi avere conseguenze avverse sulla salute profonde e diffuse. Secondo noi, c'è la possibilità che i benefici del vaccino possano essere stati sopravvalutati e il rischio di potenziali effetti avversi sottovalutati, non è stata valutata rigorosamente nella comunità medica e scientifica. Speriamo che il presente documento fornisca un quadro per una valutazione tanto necessaria e attesa da tempo di questo problema medico altamente controverso. -US National Library of Medicine National Institutes of Health .
Tutto ciò viene anche dopo che il CDC ha suggerito che potrebbe esserci un collegamento tra aborti spontanei e vaccinazioni, come ho riferito per Natural Blaze all'inizio di settembre.
Per un elenco di vaccini che contengono ancora mercurio e alluminio al di sopra dei livelli di sicurezza EPA, fare clic qui . Si dice che sette vaccini contengano ancora thimerosal, che è il 49,5% di mercurio.
Perché ci è voluto così tanto tempo per chiederci se iniettare neurotossine conosciute nei corpi di neonati e bambini sia sicuro quando la National Library of Medicine National Institutes of Health degli Stati Uniti ha ammesso che la loro comprensione dell'alluminio come adiuvante principale nei vaccini è “scarsa”?

Nessun commento:
Posta un commento